Hallux Valgus (Joanete): Causas, Sintomas e Tratamentos

Introdução

O hallux valgus, popularmente conhecido como joanete, é uma deformidade óssea mais comum do antepé. Ela gera o desvio lateral progressivo do hálux (dedão do pé), associado ao deslocamento medial do 1º Metatarso. Essa condição pode causar dor, desconforto, limitação de movimento e dificuldade ao caminhar, impactando a qualidade de vida dos pacientes.
Neste artigo, explicaremos as causas, os fatores de risco, os sintomas e as opções de tratamento disponíveis para o hallux valgus.

O que é o Hallux Valgus?

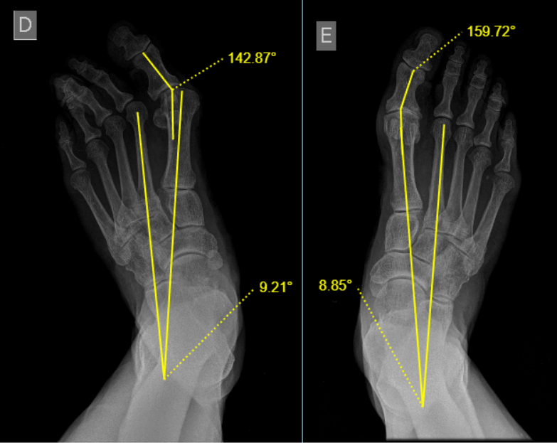
O hallux valgus por definição é uma deformidade progressiva e combinada da articulação metatarsofalângica do primeiro dedo. O desalinhamento do dedão resulta na formação de uma protuberância medial, criando diferentes pontos de pressão nos pés, podendo gerar inflamação, dor e até em dificuldades para calçar calçados.

É uma condição comum, afetando em média 36% de pessoas acima de 65 anos. Mulheres são frequentemente mais acometidas que os homens, podendo estar relacionada à moda dos calçados ou componentes anatômicos, como formato dos ossos dos pés e frouxidão ligamentar.

Causas e Fatores de Risco

O desenvolvimento do hallux valgus pode estar associado a diversos fatores, incluindo:

  • Hereditariedade – Há uma predisposição genética para o desenvolvimento do joanete, especialmente em famílias com histórico da condição. Sugere um padrão de herança autossômico dominante com penetrância incompleta.
  • Uso de calçados inadequados – Sapatos apertados, de bico fino ou salto alto podem aumentar a pressão sobre o antepé, favorecendo o avanço da deformidade. Está mais relacionado à uma piora da condição inicial, do que com o desenvolvimento da deformidade propriamente dita.
  • Pé plano ou alterações biomecânicas – O formato do pé e o tipo de pisada podem influenciar o desenvolvimento da deformidade. Há uma maior incidência em pacientes com pés pronados, rotação externa do pé ou eixo valgo da perna.
  • Doenças reumatológicas – Condições como artrite reumatoide podem enfraquecer as articulações e levar à formação do hallux valgus.
  • Idade e sexo – A condição é mais frequente em mulheres e tende a piorar com o avanço da idade.
  • Outros fatores: Hiperfrouxidão ligamentar, encurtamento do tendão de Aquiles/músculos da panturrilha, alterações biomecânicas da marcha.

Sintomas e Diagnóstico

Os sintomas podem variar conforme a gravidade da deformidade, mas geralmente incluem:

  • Protuberância óssea visível na face medial do pé, chamada de pseudoexostose
  • Dor na articulação do primeiro dedo, principalmente ao caminhar
  • Vermelhidão, inchaço e inflamação na região afetada pela formação de uma bursa dolorosa
  • Rigidez e limitação do movimento do dedão
  • Formação de calos e bolhas devido ao atrito com o calçado
  • Deformidades nos dedos menores – dedos em garra ou martelo, sobreposições
  • Metatarsalgia de transferência – sobrecarga dos metatarsos adjacentes

O diagnóstico do hallux valgus é clínico, baseado no exame físico e na análise da queixa do paciente. É essencial que nessa fase, possamos fazer a diferenciação entre queixas funcionais de limitações da vida diária, com componente estético. Correções estéticas são desestimuladas, pelo alto risco de insatisfação do paciente.
Exames de imagem, como radiografia, podem ser solicitados para avaliar o grau da deformidade e auxiliar na escolha do tratamento e definição de técnica cirúrgica. É importante ainda obter dados sobre as condições de saúde do paciente, tais como doenças reumatológicas, neurológicas e vasculares, diabetes, infecções fúngicas nos pés, alterações degenerativas de outras articulações e alinhamento do retropé.

Tratamentos Disponíveis

O tratamento do hallux valgus pode ser conservador ou cirúrgico, dependendo da intensidade dos sintomas e do impacto na rotina do paciente. O principal objetivo é reduzir a dor, corrigir a deformidade e melhorar a função do pé!

Tratamento Conservador

Uso de calçados adequados – Optar por sapatos confortáveis, de bico largo e solado macio para reduzir a pressão sobre o pé. É indicado ainda optar por saltos baixos ou mínimos.

Palmilhas – Para pacientes com metatarsalgia de transferência podem ser prescritas palmilhas com elevação retrocapital metatarsal. Já quadros de artrose dolorosa, buscam-se palmilhas ou calçados com barra em rolo para reduzir a sobrecarga mecânica no 1º dedo.

Órteses e protetores – Dispositivos como separadores de dedos e almofadas protetoras podem aliviar o desconforto, principalmente nos dedos menores, protegendo de áreas de atrito.

Fisioterapia – Exercícios específicos ajudam a fortalecer e alongar a musculatura do pé e melhorar a biomecânica da pisada.
Analgésicos e anti-inflamatórios – Podem ser recomendados para aliviar a dor e a inflamação em crises agudas. Podem ser utilizados na forma oral ou como pomadas tópicas.

Cirurgia para Hallux Valgus

Se a dor for intensa e persistente, comprometendo a mobilidade, a cirurgia pode ser indicada. Existem alguns critérios para a indicação de cirurgia, sendo eles:

  • Intensidade da dor e desconforto diário
  • Comprometimento das atividades e bem-estar do paciente
  • Dificuldade em encontrar calçados adequados devido a áreas de pressão
  • Aparecimento frequente de lesões ulcerativas sobre a região óssea afetada
  • Redução da mobilidade e funcionalidade do pé
  • Agravamento contínuo da deformidade ao longo do tempo
  • Possibilidade de alterações estruturais nos dedos menores

Existem diferentes técnicas cirúrgicas, como:

  • Osteotomia – Correção do ângulo ósseo através de cortes estratégicos no osso.
  • Artrodese – Fusão de articulações para estabilização do dedão.
  • Exostectomia – Remoção da saliência óssea, geralmente associada a outras correções estruturais.

A escolha da técnica depende da gravidade da deformidade e das necessidades do paciente. Para definição de um plano cirúrgico leva-se em consideração: idade e nível de atividade do paciente, doenças associadas, capacidade de correção da deformidade, instabilidade e grau de degeneração articular, necessidade de correção das deformidades combinadas entre outros fatores.

Busca-se um entendimento integral da condição de saúde do paciente para evitar recorrência da deformidade e garantir o melhor resultado cirúrgico sem complicações.

Prevenção e Cuidados

Evitar o uso frequente de sapatos apertados e de salto alto.
Manter um peso corporal adequado para reduzir a sobrecarga nos pés.
Praticar exercícios para fortalecimento da musculatura dos pés e tornozelos.
Fazer alongamentos regulares para manter a mobilidade das articulações.

Mensagem para casa:

  • As causas do hallux valgus ainda não estão completamente definidas.
  • Em estágios avançados, os tratamentos conservadores apresentam eficácia limitada.
  • A cirurgia é indicada para pacientes que apresentam sintomas e impacto funcional significativo.
  • A recuperação pós-operatória deve envolver fisioterapia, manipulação manual e dispositivos corretivos para otimizar os resultados.
  • Há uma escassez de estudos robustos que avaliem com alto nível de evidência as opções de tratamento disponíveis, tanto conservadoras quanto cirúrgicas.

Perguntas Frequentes

1. Joanete tem cura?

O hallux valgus pode ser tratado e os sintomas podem ser aliviados, mas, sem cirurgia, a deformidade não desaparece completamente.

2. Quando a cirurgia é recomendada?

Quando a dor é intensa, há dificuldades para caminhar ou os tratamentos conservadores não trazem alívio.

3. Quanto tempo demora a recuperação da cirurgia?

A recuperação varia conforme a técnica utilizada, mas geralmente leva de 6 a 12 semanas.

Conclusão

O hallux valgus é uma condição comum que pode causar desconforto e impactar a qualidade de vida. O tratamento precoce pode evitar a progressão da deformidade e aliviar os sintomas. Se você tem dores ou percebe o desenvolvimento do joanete, procure um especialista para avaliação e escolha do melhor tratamento.

Assinatura da Autora

Dra. Bruna Harada | Ortopedista e Traumatologista

Especialista em Pé e Tornozelo | CRM 40737 | RQE 30404

Confira outras postagens: